Introduction of department
In our department, each lesions concerning tumor, traumatic injury, deformity and inflammation of oral and maxillofacial region have been treated for functional improvement, aesthetic recovery and so on to out- and in- patients.
Research content
- Genomic studies of oral disease
- Studies on biological characteristics and therapy of oral tumors
- Molecular biology of invasion and metastasis of oral cancer
- Studies on causative gene of cemento-osseous lesions in jawbones
- Identification and functional analysis of cancer stem cells in oral squamous cell carcinomas
- Technical improvement and evaluation of oral and maxillofacial reconstruction
- Application of new biomaterials to oral and maxillofacial surgery
- Guided bone regeneration for dental implants
- Growth and differentiation of salivary gland tumors
- Studies on sensitivity-determining factors of oral infectious bacteria to antibiotics
- Research of recognition mechanisms of bacteria, fungi, viruses in oral mucosa and oral mucosal inflammatory diseases
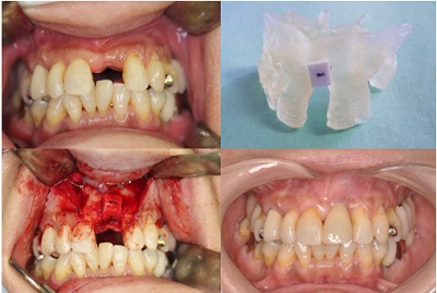
Application of interconnected porous hydroxyapatite ceramics (IP-CHA)
block in onlay block bone grafting for implant treatment

Home